Os Uma
Piše: Barbara Kovačević
Posljednjih su godina provedena razna istraživanja o utjecaju marihuane na ljudsko tijelo. Jedno od njih sugerira da ona može izazvati smanjenje kvalitete sperme dok ju je jedna druga studija proučavala kao mogući lijek za autoimune bolesti. U drugoj je studiji rečeno da marihuana nema nikakav utjecaj na čovjekov kvocijent inteligencije, ali drugo istraživanje tvrdi upravo suprotno. Možda nam rezultat studije o dugoročnom korištenju marihuane može pružiti objašnjenje nastale zbrke.
Nedavno je završeno prvo sveobuhvatno istraživanje o posljedicama njezinog dugoročnog korištenja i rezultati definitivno pokazuju jedno, a to je da su mozgovi osoba koje dugoročno koriste marihuanu svakako različiti od mozgova osoba koje ju ne koriste. Također se pokazalo da se njezini utjecaji na mozak tijekom razdoblja dužeg korištenja počinju mijenjati kao i da se ti učinci razlikuju ovisno o dobi u kojoj je korištenje počelo.
Tim iz Centra za zdravlje mozga sa Sveučilišta Teksas je u svojem istraživanju koristio relativno veliku skupinu ljudi koja je uključivala 48 odraslih korisnika te 62 osobe istog spola i dobi, a koje ne koriste marihuanu. Uračunate su razlike koje bi mogle utjecati na rezultate kao što su spol, dob, nacionalnost te korištenje alkohola i duhana. Korisnici marihuane su bili klasificirani kao „kronični potrošači“ koji su marihuanu u prosjeku konzumirali barem tri puta dnevno i to tijekom posljednjih deset godina i koji nisu pokazivali nikakve znakove psihoza ili neuroloških poremećaja.
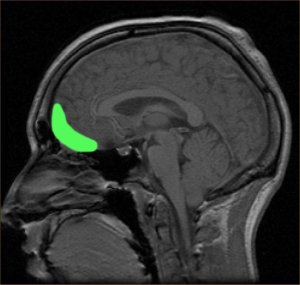
Analizirane su tri karakteristike mozga, uključujući volumen područja koje se naziva orbitofrontalni korteks (OFC), povezanost tog područja s ostalim područjima mozga te strukturalni integritet moždanog tkiva. OFC se inače povezuje s osjećajima ovisnosti, sposobnosti donošenja odluka te povećanjem moždanih veza. Provedeni kognitivni testovi su pokazali da kronični korisnici imaju niži kvocijent inteligencije (IQ) dok je skeniranje mozga pokazalo smanjenje volumena mozga u području OFC-a, no istraživači kažu da ova dva rezultata nisu međusobno povezana. Također je otkriveno da je ovo smanjivanje mozga značajnije u skladu s dobi početka korištenja marihuane, odnosno, što je osoba bila mlađa kad je konzumacija započela, skupljanje mozga je bilo veće.

No, tim je također pronašao dokaz da mozak kod kroničnih korisnika kompenzira to skupljanje tkiva aktivnim povećanjem povezanosti različitih područja mozga i porastom strukturalne cjelovitosti tkiva. To se povećanje događa čim osoba počne koristiti marihuanu i postaje značajnije u skladu s češćim korištenjem. Sve do određene točke. Nakon šest do osam godina kronične upotrebe marihuane, ova povećana mogućnost povezivanja počinje opadati i ostavljati smanjeni OFC te slabu povezanost mozga koja je jedva iznad prosjeka.
Jedna je druga studija, provedena 2012. u Velikoj Britaniji, prikazala malo svjetliju stranu ovog istraživanja rekavši da se kanabis tako može koristiti za sprječavanje širenja karcinoma mozga. Ipak, potrebno je naglasiti da za sada ne postoje dokazi koji ukazuju na povezanost između strukturalnog integriteta OFC-a i određenih ljudskih ponašanja, a postoji i mogućnost da mali orbitofrontalni korteks (koji je zapažen kod korisnika marihuane) prethodi njezinom korištenju.
„Iako naša studija decidirano ne navodi jesu li neke ili sve promjene u mozgu izravna posljedica upotrebe marihuane, njezini učinci ukazuju da su te promjene vezane uz dob početka i trajanje korištenja,“ rekla je koautorica studije, dr. Francesca Filbey.
Studija, objavljena u časopisu Proceedings of the National Academy of Sciences, ukazuje da je siva tvar osjetljivija na učinke THC-a, glavnog aktivnog sastojka kanabisa, od bijele tvari. Siva tvar čini tijela neurona dok se bijela sastoji od vlakana, odnosno aksona, duž kojih prolaze živčani signali.
U svakom nas slučaju čekaju još mnoga istraživanja vezana uz ovu temu, a s time se slažu i znanstvenici koji se nadaju da će uskoro uspjeti utvrditi može li prekidanje upotrebe marihuane zaustaviti ili obrnuti ove promjene kao i događaju li se slični učinci i kod povremenih korisnika.
