Os Uma
Piše: Barbara Kovačević
Posljednjih nekoliko godina traje kontroverza oko pitanja je li uzimanje kalcija kao dodatka ishrani korisno ili štetno. Dva područja najvećeg interesa za ovu temu vezana su uz osteopeniju/osteoporozu te kardiovaskularni sustav. Nažalost, javnost (odnosno laici) nema dovoljno znanja da bi shvatila da izoliranje jednog čimbenika, kao što je konzumacija kalcija u odnosu na zdravlje kostiju, ne uzima u obzir složenost našeg organizma.
Većina kalcija kao dodatka ishrani je uglavnom loša vijest jer je naše tijelo stvoreno da bi kalcij dobivalo iz hrane te tako jačalo kosti, ne iz tablete ili praška. Također, treba uzeti u obzir da su i naše kosti živo tkivo koje treba i vitamin C, aminokiseline, magnezij, silicijev dioksid, vitamin D i K itd., uz redovitu fizičku aktivnost. Uzimanje dodatnog kalcija (osobito neorganskog i onog loše kvalitete) uz zanemarivanje ostalih ključnih čimbenika nema velikog smisla kao što nema smisla osteoporozu ili osteopeniju smatrati posljedicom manjka kalcija. (Više u tekstu Mit o osteoporozi)

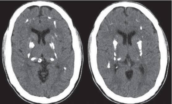
Istraživanjima je do sada utvrđena veza između kalcija kao dodatka ishrani i povećanog rizika od ishemijskog moždanog udara, a koja ukazuje na to da uzimanje dodatnog kalcija doprinosi arterijskoj kalcifikaciji, uglavnom u masnim naslagama koje potiču blokiranje krvnih žila. Time dolazi do smanjenog protoka krvi te manje količine kisika (ishemija) zbog čega dolazi do lezija na mozgu. Drugi način na koji kalcij može imati izravan neurotoksični učinak na mozak je ulazak viška kalcija u moždane stanice, što dovodi do stanične smrti.
Otkriveno je da je korištenje prehrambenih dodataka za starije odrasle osobe koji sadrže Ca [kalcij] povezano s većim brojem lezija na mozgu, čak i nakon uspostavljanja kontrole nad uobičajenom količinom unosa Ca. Zanimljivo, ni količina dodatnog Ca niti trajanje dodatnog Ca nije se povezivalo s količinom lezija. Ova otkrića ukazuju da dodatni Ca ima nepovoljne biokemijske učinke kod starijih osoba bez obzira na dozu. – piše u studiji.
Ostala istraživanja ukazuju i na druge negativne posljedice uzimanja kalcija kao dodatka ishrani, kao primjerice studija iz 2009. kojom se ukazalo na povezanost između Alzheimerove bolesti i kalcifikacije mozga, posebice pinealne žlijezde. Jedna je studija provedena u Švedskoj pokazala vezu između dodatnog kalcija i rizika od demencije kod žena dok neka druga istraživanja ukazuju i na povezanost sa srčanim udarima.
Uzimanje dodatnog kalcija trebalo bi provoditi uz nadzor liječnika ili druge stručne osobe dok je preporučena dnevna doza oko 500 mg ili manje, ovisno o razlogu i potrebi.

[…] opasnih lijekova za kosti (jednako opasnim mega dozama elementa kalcija – više u tekstu Uzimanje kalcija može uzrokovati lezije na mozgu) u utrci za povećanjem gustoće kostiju svim raspoloživim […]
LikeLike